Research

Research News

Master
Hand holding white pills on an orange background
Although metformin has been the go-to medication to manage type 2 diabetes for more than 60 years, researchers still do not have a complete picture…
Read Article
Blood plasma
A study published in Cell Stem Cell reveals that some mutations in blood stem cells might help protect against late-onset Alzheimer’s disease.
Read Article
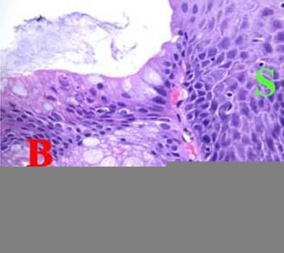
Barrett's metaplasia under the microscope
A team led by researchers at Baylor College of Medicine and Washington University School of Medicine has shed light on the process that drives…
Read Article
DeBakey Award Winners 2025
Six Baylor College of Medicine faculty were honored this year with the Michael E. DeBakey M.D. Award for Excellence in Research for their outstanding…
Read Article
Photo of test tubes with a pink background
Envision this possible future clinical scenario: a breast cancer patient and her physicians are deciding on the best possible treatment. Their…
Read Article
Shown are biliary tree ink injection images from the left liver lobes of 30-day-old mice. Note the improvement in the density and peripheral extension of the biliary tree in Alagille syndrome (ALGS) model upon AAV-mediated gene therapy. From Fox et al, Gastroenterology.
A team of researchers at Baylor College of Medicine, UMass Chan Medical School and Cincinnati Children’s Hospital Medical Center has developed a new…
Read Article
Photo of a doctor pointing to brain scans on a light box
Researchers still do not have a comprehensive picture of the factors that influence gene expression in human cancers. Understanding gene expression…
Read Article
Dr. Micahel Mancini working in his lab
A team led by researchers at Baylor College of Medicine has identified flavonoids, natural compounds found in plants, that are toxic to bladder…
Read Article
Wastewater being collected by Houston Public Works
An innovative outbreak detection program that tracks disease-causing viruses in wastewater identified the measles virus in Houston samples collected…
Read Article
Dr. Margaret Goodell named to the National Academy of Sciences
Dr. Margaret (“Peggy”) Goodell, an expert in the field of stem cell research, has been elected as one of the newest members of the National Academy…
Read Article
Two independent mechanisms are involved in tuberous sclerosis
Researchers at Baylor College of Medicine, Texas Children’s Hospital, the Hospital for Sick Children in Toronto and collaborating institutions reveal…
Read Article
Illustration of a brain to look like it is made up of computer circuits
Understanding and treating brain disorders such as tremor, imbalance, and speech impairments requires deep knowledge of the cerebellum, a part of the…
Read Article
Cullen Building fisheye
Baylor College of Medicine was recognized as a top institution for medical research, earning Tier 1 status in the U.S. News & World Report 2025…
Read Article
This image shows a subset of the more than 1,000 of the 120,000 brain cells (neuron + glia) reconstructed in the MICrONS Project. Image Credit Allen Institute
From the smallest fragment of brain tissue, the intricate blueprint of the entire brain is beginning to emerge. Researchers at Baylor College of…
Read Article
A photo of gloved hands working in a lab.
A new study published in the journal Immunity reveals a mechanism that allows triple negative breast cancer (TNBC) to develop resistance to therapy.…
Read Article
A blue drawing on a dark background showing a brain inside the outline of a persons head with pinpoints of light to indicate activity.
Motion sickness is a very common condition that affects about 1 in 3 people, but the brain circuits involved are largely unknown. In the current…
Read Article
Back to topback-to-top