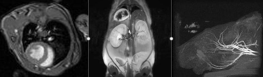
7.0T MRI
Bruker Biospin 7T PharmaScan
- T1 and T2 weighted scans for Anatomic Imaging
- Angiography
- Cardiovascular Imaging
PET/SPECT/CT (3D X-Ray and nuclear imaging)
Mediso NanoScan PET/SPECT/CT
- 3D Soft Tissue and Bone Imaging
o Lung Scans
o Full Body Reconstructions - Nuclear Imaging (Tc99M and 18F compounds)
o 18FDG – glucose uptake
o Tc99M – Sodium/Iodide Cotransporter expression localization
o Inquire about other application - Core workstations include access to VivoQuant software for reconstructions, segmentation, and analysis
InVivo Imager (2D X-Ray, fluorescence/luminescence)
IVIS Lumina X5
- Acquire 2D X-Ray, Fluorescence, Luminescent images
- Track labeled cells/tumors
- Quantify Size/Intensity
Faxitron (X-Ray for anatomic imaging, DEXA for Body Composition/BMD)
Faxitron Ultrafocus
- X-Ray imaging for skeletal anatomy
- Dual Energy X-Ray Absorptiometry (DEXA) for body composition and Bone Mineral Density
- Percent Fat
- Percent Lean
- Percent Bone
- mg/cm2 (bone density)
Ultrasound
Visualsonics Vevo 2100
- Up to 30 micron resolution and framerates up to 740 fps
- Echocardiography
- Ejection Fraction
- Fractional Shortening
- Stroke Volume
- Color and Power Doppler Modes for blood flow quantification
- Anatomic Imaging
- 4D Imaging (3D + ECG-gated Time)






