Skull Base Tumors
Our program combines the expertise of surgeons from two departments - Neurosurgery and Otolaryngology - Head and Neck Surgery at Baylor Medicine.
About the Program for Lateral Skull Base Surgery
The Program for Lateral Skull Base Surgery in the Center for Hearing and Balance is a multidisciplinary collaboration between the Departments of Neurosurgery and Otolaryngology – Head and Neck Surgery at Baylor Medicine. It is located at Baylor St. Luke’s Medical Center in Houston, Texas. This program offers special expertise for complex skull base disorders, including but not limited to:
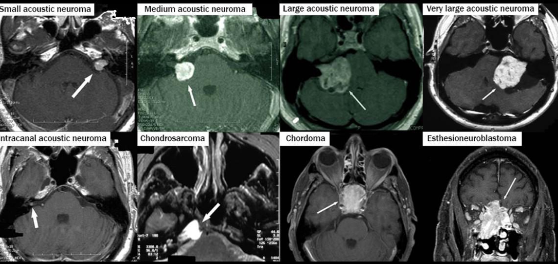
- Vestibular schwannoma/acoustic neuroma
- Meningioma
- Chondrosarcoma
- Epidermoid cysts
- Carcinomas such as squamous cell carcinoma and basal cell carcinoma
- Tumors of the facial nerve such as neuromas/schwanomas and hemangiomas
- Cholesterol granulomas
- Encephaloceles/brain hernias and cerebrospinal fluid (CSF) leaks
- Superior semicircular canal dehiscence
- Jugular paraganglioma/glomus jugulare
- Cranial nerve neuralgia, such as trigeminal and glossopharyngeal neuralgia
Unique Patient Experience
The program aims to make the overall patient experience unique by offering:
- Comprehensive care from healthcare providers who have a special focus on skull base disorders
- Parallel expertise in the areas of hearing and balance, stereotactic radio surgery, ophthalmologic care, voice and swallowing, and facial plastic/reconstructive surgery if needed
- Outcomes analysis and multidisciplinary case discussions to ensure that care is consistently excellent
- Advanced techniques and devices for precise and minimally invasive therapy
- Cutting-edge research on the best therapies for skull base disorders






